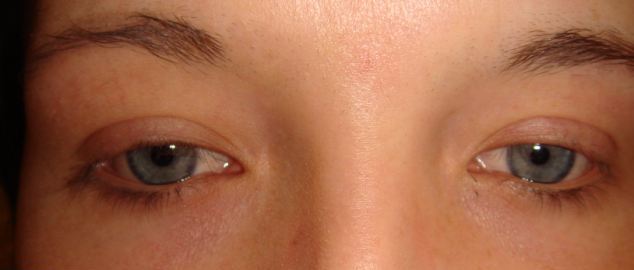
Έπασχε από τριχοτιλλομανία και είχε βγάλει τις βλεφαρίδες της.
Το άγχος και το στρες οδήγησαν μια έφηβη από το Manchester να… τραβάει και να βγάζει τις βλεφαρίδες της επί εννέα ολόκληρα χρόνια!
Η Joanne, όπως είναι το μικρό της όνομα, έπασχε από τριχοτιλλομανία από την ηλικία των 6 ετών έως τα 15 της.
Παρότι τα τελευταία οκτώ χρόνια είχε σταματήσει να βγάζει τις βλεφαρίδες της, είχε προκαλέσει μόνιμη καταστροφή στα θυλάκια των τριχών, με αποτέλεσμα να μεγαλώνουν πολύ σπάνια.


Για το λόγο αυτό η νεαρή γυναίκα αποφάσισε, όπως γράφει η Daily Mail, να λάβει δραστικά μέτρα και να υποβληθεί σε μια νέου τύπου επέμβαση.

Ο ειδικός στη μεταμόσχευση μαλλιών, χειρουργός, Asim Shahmalak πήρε μαλλιά από το πίσω μέρος του κεφαλιού της και… τα έβαλε στα βλέφαρά της!

Τώρα η Joanne πρέπει να τα περιποιείται, όπως θα έκανε και με τα μαλλιά του κεφαλιού της, κόβοντάς τα σε τακτά διαστήματα, καθώς πλέον οι βλεφαρίδες της… μεγαλώνουν όπως τα μαλλιά της!

Πηγή: http://www.newsbeast.gr


Δεν υπάρχουν σχόλια:
Δημοσίευση σχολίου
Σημείωση: Μόνο ένα μέλος αυτού του ιστολογίου μπορεί να αναρτήσει σχόλιο.